Чоловік виявив третю нирку, звертаючись за лікуванням при інфекції сечовивідних шляхів.

1

31-річний чоловік з міста Вардха, Індія, нещодавно виявив у себе додаткову нирку, звернувшись за медичною допомогою через важку інфекцію сечовивідних шляхів (ІМП). Несподівана знахідка підкреслює рідкість уроджених аномалій та важливість всебічної діагностичної візуалізації.

Початкові Симптоми та Діагноз

Пацієнт звернувся зі скаргами на біль у попереку протягом п’яти днів, температуру вище 39°C та печіння при сечовипусканні. Первинний огляд виявив болючість при пальпації правої сторони живота та каламутну сечу, хоча життєво важливі показники були в нормі. Аналізи крові показали підвищену кількість лейкоцитів, підтвердивши активну інфекцію, викликану Klebsiella pneumoniae, поширеним збудником ІМП.

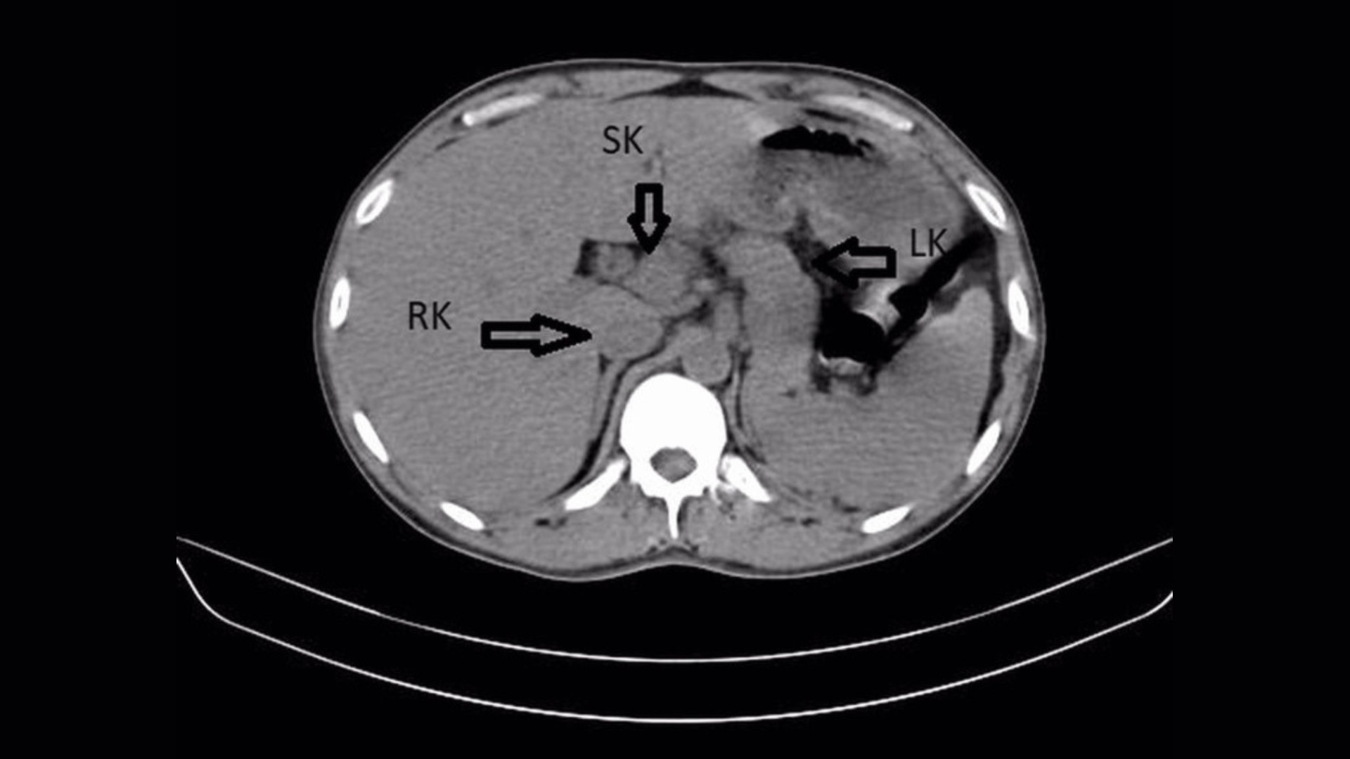
Несподіване Відкриття

Стандартні діагностичні процедури – ультразвукове дослідження та КТ – виявили не лише інфекцію, а й додаткову нирку, зрощену з правою ниркою, утворюючи характерну форму «підкови». Ця вроджена аномалія виникає в результаті аномального поділу клітин під час внутрішньоутробного розвитку, і хоча часто протікає безсимптомно, вона може призводити до ниркових інфекцій.

У пацієнта також були виявлені відкладення каменів (мінеральних кристалів) у нирках, які можуть закупорювати відтік сечі та посилювати інфекцію. Особливо сильно була торкнута ліва нирка, де камені накопичилися в лівому сечоводі, трубці, що з’єднує нирку з сечовим міхуром.

Лікування та Відновлення

Лікарі усунули гостру інфекцію, вставивши стент у лівий сечовод для полегшення дренажу, у поєднанні з внутрішньовенними антибіотиками – піперациліном/тазобактам та левофлоксацином – протягом 48 годин. Стан пацієнта швидко покращився завдяки регідратації та медикаментозному лікуванню. Він був виписаний з призначенням контрольного візиту для видалення стенту та подальшого лікування ниркових каменів.

Рідкість Стану

Додаткові нирки трапляються вкрай рідко, у всьому світі щорічно реєструється менше 100 нових випадків. p align=”justify”> Конфігурація зрощення у формі «підкови», виявлена ​​в цьому випадку, ще більш незвичайна і задокументована лише в п’яти попередніх наукових звітах. Хоча додаткові нирки можуть існувати як окремі або слабко пов’язані органи, ця ситуація наголошує на різноманітності людської анатомічної варіативності.

Цей випадок демонструє потенціал несподіваних відкриттів під час рутинних медичних обстежень та важливість сучасних методів візуалізації виявлення рідкісних анатомічних аномалій. Він також є нагадуванням про те, що навіть, здавалося б, прості інфекції можуть виявити раніше невідомі основні захворювання.